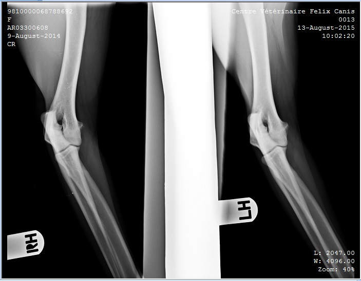
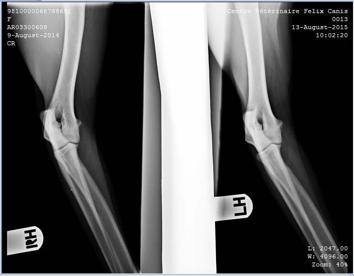
Alexa 2 Published August 14, 2015 at 703 × 549 in Hip and Elbow X-ray’s Keith and Alexa ← Previous Next → Alexa